Ученые ЮФУ открыли еще один секрет самосборки вирусов в клетках
Исследователи из Южного федерального университета совместно с учеными из Китая и Словении изучили способ,
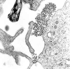
Исследователи из Южного федерального университета совместно с учеными из Китая и Словении изучили способ, с помощью которого некоторые из вирусов собираются из белковых молекул в клетках. Потенциально исследование может помочь создать препараты для лечения и профилактики некоторых вариантов лихорадки. Итоги исследования опубликовал научный журнал Nanoscale Advances.
Ученые сосредоточились на том, каким образом молекулы в пораженных вирусом клетках собираются в оболочку вируса. Оболочки вирусов, если попытаться их представить, похожи на футуристические жилища из ячеек правильной формы. И до сих не была изучена ситуация, когда оболочки вирусов собираются из одинаковых ячеек с количеством молекул меньше пяти. Так ведет себя, например, вызывающий лихорадку вирус Денге.
Специалисты создали математическую модель и проверили ее на компьютерах. Модель показала, что молекулы ячеек оболочки вирусов выстраиваются так, чтобы центры тяжести молекул соответствовали определенному правилу.
Однако более важным ученые считают открытие правил, по которым «молодые» вирусы перестраивают свои оболочки внутри клетки перед выходом наружу. Зная это правило, можно создать препараты, нарушающие этот процесс. А значит замедляющие распространение вируса в организме.
Последние новости
Кубок Главы города Таганрога по лазер-бегу
3 и 4 апреля во Дворце спорта АО "ТЗ "Прибой" проходили соревнования на Кубок Главы города Таганрога по лазер-бегу 2025, которые проводил «Пентаклуб» при поддержке Администрации города Таганрога.
Ольга Данцева: «Празднование юбилея Новочеркасска пройдет с большим размахом»
2025 год для Новочеркасска юбилейный и новочеркасские работники культуры примут в программе предстоящих праздничных мероприятий самое активное участие.
Правило карандаша. Что нужно помнить при высадке саженцев плодовых культур
У весенней посадки есть свои преимущества и недостатки, считает эксперт Донского филиала ФГБУ «ЦОК АПК» Анна Ильяшенко.

Преобразователь частоты
Все преобразователи проходят контроль и имеют сертификаты с гарантией